From routine check-ups to restoring confident smiles, our gentle and experienced dentists in Clayton South take the time to understand you, support you, and deliver care that feels personal at every visit.
Monday to Friday: 9 AM - 6 PM
Saturday and Sunday: CLOSED
It’s So Fast & Easy
Comprehensive dental care to keep you and your family smiling—comfortable, stress-free, and personalised.
Protect your smile with tailored preventive treatments designed to stop small issues before they become major problems.
Achieve a brighter, more confident smile with whitening, veneers, cosmetic restorations, and more.
Your step-by-step resource for straightening teeth discreetly — without traditional braces.
For more than three decades, Clarinda Clinic has proudly served families across Clarinda, Clayton, Clayton South, Heatherton, Bentleigh, Oakleigh, and the wider City of Kingston.
Led by Dr Andrew Hong, our experienced team is committed to providing personalised, high-quality dentistry in a calm and welcoming environment.
At Clarinda Clinic, we take the time to understand your needs, listen to your concerns, and develop treatment plans that are comprehensive, comfortable, and tailored just for you. Whether it’s a routine visit or a more complex dental treatment, our goal is simple:
To help you enjoy a healthy, confident smile — today and for years to come.
We welcome new patients and are always here to support you on your dental health journey.
Clarinda Clinic — Caring for Your Smile, Committed to Your Health.
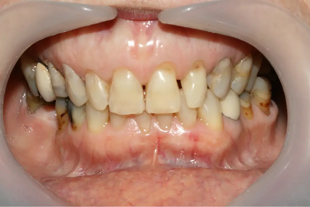
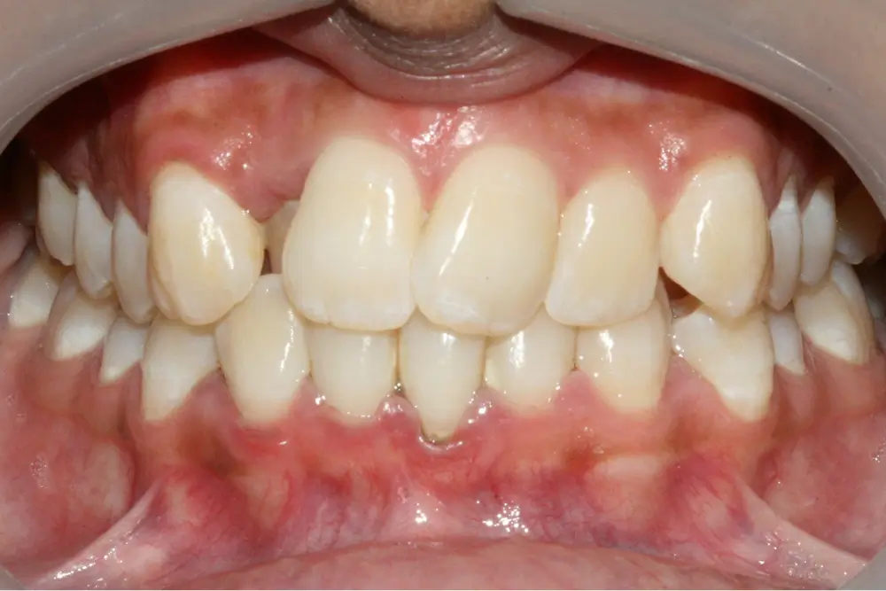
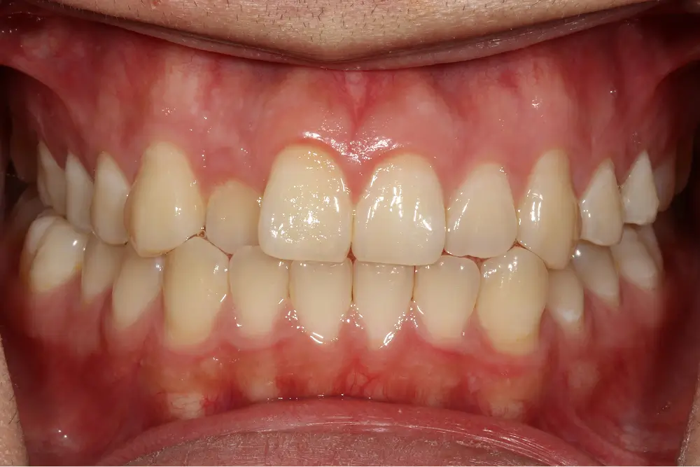
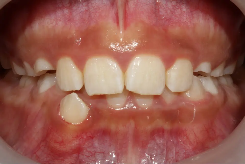
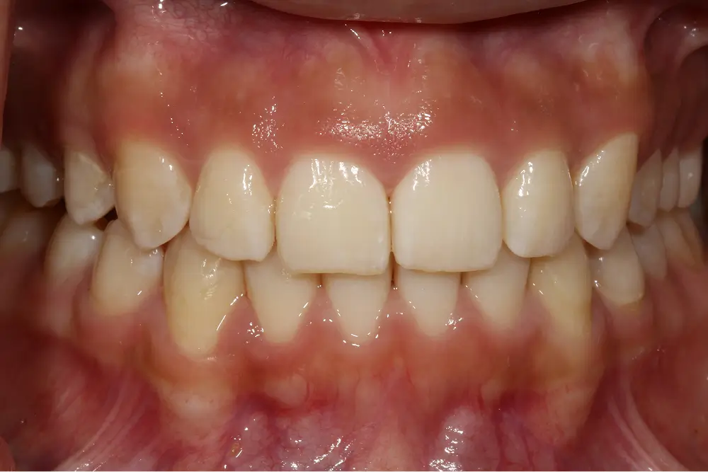
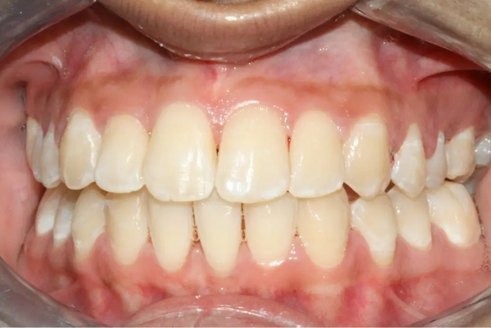
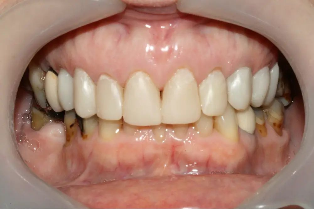
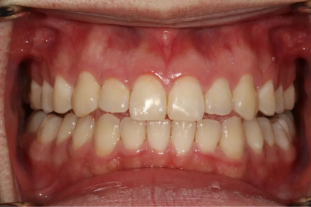
At Clarinda Clinic, we believe that great dentistry should speak for itself. Our gallery showcases real patient transformations using modern, evidence-based treatments — from cosmetic upgrades to restorative improvements and complete smile makeovers.




For over 30 years, Clarinda Clinic has proudly cared for thousands of patients, delivering high-quality dental care with a commitment to excellence and compassion. Our experience and dedication ensure every smile receives the attention it deserves.
Note: Any surgical or invasive procedure carries risks. Before proceeding, you should seek a second opinion from an appropriately qualified health practitioner.
The annoying thing about the place is trying to stay awake because its so comfortable. thankfully they all have a good sense of humor and are friendly. otherwise they would have to pry my mouth open as i sleep. have not gone to see you guys in a few years but i will be returning shortly.
Lorem ipsum dolor sit amet, consectetur adipiscing elit. Nam vehicula sollicitudin feugiat. In tincidunt libero ex, ac ornare sapien elementum
Lorem ipsum dolor sit amet, consectetur adipiscing elit. Nam vehicula sollicitudin feugiat. In tincidunt libero ex, ac ornare sapien elementum
Lorem ipsum dolor sit amet, consectetur adipiscing elit. Nam vehicula sollicitudin feugiat. In tincidunt libero ex, ac ornare sapien elementum