Modern Clarinda Clinic reception with a wooden counter, decorative vase with flowers, and bubble lights.

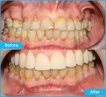
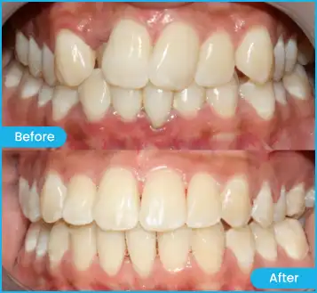
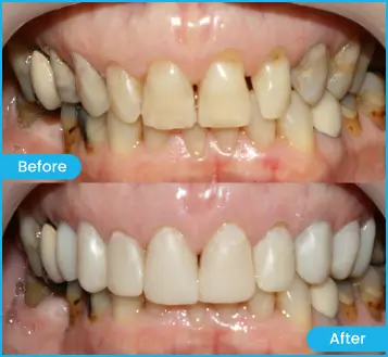
Smile Gallery

Our dentists are experienced in treating and supporting anxious patients by providing them with a number of relaxation options.